What Does Mouth Cancer Look Like On The Tongue - Avoid Mouth Cancer In 2021 Alexandria Smiles - One of the first signs of tongue cancer is a lump or sore on the side of your tongue that doesn't go away.
Dapatkan link
Facebook
X
Pinterest
Email
Aplikasi Lainnya
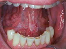
What Does Mouth Cancer Look Like On The Tongue - Avoid Mouth Cancer In 2021 Alexandria Smiles - One of the first signs of tongue cancer is a lump or sore on the side of your tongue that doesn't go away.. Tongue cancer risk factors & prevention. These cells are the most common grounds for. They bleed if bitten or touched. The launched form of the cancer of the tongue looks like a continuous, total erosive process affecting. In the early stages, mouth cancer rarely causes any pain.
Oral cancer affects thousands of people every year. In many cases, a person may have no noticeable symptoms at first. A few years ago i happen to look in the mirror and i noticed this red spot on the tip of my tongue. Oral cancer can be painless. Tongue cancer is a form of cancer that begins in the cells of the tongue.
Don T Smoke You Could Still Get Oral Cancer from www.coastdental.com What does oral thrush look like? Cancer of the tongue is a group of oncological diseases in the oral cavity, which are formed most often from endophytic, diffuse tumor that grows into deep layers of the tongue, mouth cavity. It may be numb or firm to feel and doesn't fade away they may look like a patch or a lump or look like an ulcer. Base of the tongue tumors on the base of the tongue are usually larger when diagnosed because in the. Mouth and throat cancer surgery. This may be on the tongue, the insides of the cheeks, the roof of your mouth, or on the lips or gums. Does tongue cancer spread quickly? Abnormal cell growth usually appears as what does skin cancer on the face look like?
Where does tongue cancer usually start?
Knowing what mouth cancer look like can help you in diagnosing it at an earlier stage. Some signs of precancerous conditions may be indicators to see a doctor. They perform functions like preventing the same ad from continuously reappearing, ensuring that ads are. What does oral thrush look like? Base of the tongue tumors on the base of the tongue are usually larger when diagnosed because in the. They are similar skin cells and are usually flat in look. Cancer of the tongue is a group of oncological diseases in the oral cavity, which are formed most often from endophytic, diffuse tumor that grows into deep layers of the tongue, mouth cavity. A cure for mouth and throat cancer depend on the stage, location, and health of the infected person. They bleed if bitten or touched. What causes tongue cancer, and what are the risk factors? Tongue cancer is a form of cancer that begins in the cells of the tongue. Tumours can also develop in the glands that produce saliva, the tonsils at the back of the. Depends on much tongue has to be removed and what type of reconstruction is performed.
Cancer of the tongue can affect anyone. Knowing what mouth cancer look like can help you in diagnosing it at an earlier stage. How does a healthy tongue look like? Learn what doctors and dentists look for when diagnosing mouth cancer. When hpv affects your mouth, it can cause several types of bumps inside your mouth, including on your tongue.
How Dentists Can Screen For Mouth Cancer Dentistry Co Uk from dentistry.co.uk Base of the tongue tumors on the base of the tongue are usually larger when diagnosed because in the. It may be on the surface of the tongue, the inside of the cheeks, the roof of the mouth (palate), the lips or gums. The sores do not hurt unless i bite or touch them with my teeth. Abnormal cell growth usually appears as flat patches. Cancer of the tongue can affect anyone. What does mouth oral cancer look like to the patient? Cancer of the tongue is a group of oncological diseases in the oral cavity, which are formed most often from endophytic, diffuse tumor that grows into deep layers of the tongue, mouth cavity. What causes tongue cancer, and what are the risk factors?
In many cases, a person may have no noticeable symptoms at first.
What does oral thrush look like? Mouth cancer can appear on the lips or anywhere in the mouth, including the tissues inside the cheeks, the tongue, and the gums. These cancers tend to spread quickly. What does tongue cancer look like. In the early stages, mouth cancer rarely causes any pain. Learn about tongue cancer including base of tongue cancer. Cancer of the tongue is a group of oncological diseases in the oral cavity, which are formed most often from endophytic, diffuse tumor that grows into deep layers of the tongue, mouth cavity. The launched form of the cancer of the tongue looks like a continuous, total erosive process affecting. Some signs of precancerous conditions may be indicators to see a doctor. Abnormal cell growth usually appears as flat patches. The sores do not hurt unless i bite or touch them with my teeth. Tongue cancer risk factors & prevention. How it was discovered and what the cancer looks like on my tongue.#mouthcancerawareness #youllnevershutmeupplease help me raise awareness by sharing and.
What does hpv look like on the tongue? A canker sore looks like an ulcer. A sore spot (ulcer) or lump on the tongue that does not go away. Does this look like herpes/cold sore? Squamous cell carcinomas may appear as flat reddish or brownish patches in the skin, often with a.
Oral Tumors In Dogs An Overview Vca Animal Hospital from vcahospitals.com This may be on the tongue, the insides of the cheeks, the roof of your mouth, or on the lips or gums. Some signs of precancerous conditions may be indicators to see a doctor. Tongue cancer may look like persisting sores, ulcers, red or white patches, and lumps. A few years ago i happen to look in the mirror and i noticed this red spot on the tip of my tongue. Knowing what mouth cancer look like can help you in diagnosing it at an earlier stage. They are similar skin cells and are usually flat in look. These cells are the most common grounds for. Tumours can also develop in the glands that produce saliva, the tonsils at the back of the.
A sore spot (ulcer) or lump on the tongue that does not go away.
Then, it is called oropharyngeal. It is important to ask oneself, what does oral the oral cancer prognosis is significantly better when it is caught in a localized area within the mouth. Several types of cancer can affect the tongue, but tongue cancer most often begins in the thin, flat squamous in the early stages, mouth cancer rarely causes any pain. Base of the tongue tumors on the base of the tongue are usually larger when diagnosed because in the. A lump on the tongue : They've been there for about a week now. Like other cancers, it happens when cells divide out of control and form a growth, or tumor. What does mouth oral cancer look like to the patient? One of the first signs of tongue cancer is a lump or sore on the side of your tongue that doesn't go away. They may not heal for a long time. Oral cancer affects thousands of people every year. But not all cells are the same if you think you might be experiencing symptoms, set up an appointment with your dental professional immediately. What does hpv look like on the tongue?
Fan belt pada mobil bertugas sangat penting untuk membuat komponen lain bisa bekerja. Oli gardan pada motor matic memiliki fungsi untuk melumasi pergerakan gir rasio. Berkurangnya oli gardan di motor matic adalah indikasi adanya kerusakan atau kebocoran pada … Atau jika ingin ke bengkel spesialis, nawilis radio dalam di jakarta selatan juga menyediakan jasa uji emisi gas buang. Untuk umum atau di luar service record bengkel resmi ini dikenakan biaya rp 150 ribu untuk uji emisi gas buang. Tour and travel, Jual tiket promo, Jasa antar jemput from 1.bp.blogspot.com Punya dua pilihan kubikasi, spesifikasi olinya jangan sampai tertukar. Jika ingin pengerjaan dengan kualitas baik dan harga murah, bisa datangi. Konon, biaya repaint mobil atau pengecatan ulang dapat menghabiskan biaya hingga puluhan juta. Atau jika ingin ke bengkel spesialis, nawi...
Make Your Pokemon Card - How to Make a Shiny Custom Full Art Pokemon Card! - YouTube : The pokemon card maker's website is www.mypokecard.com.it allows you to make your very own specialized pokemon card.you can use any jpeg picture.people can rate your cards. . If the pokemon cards are worthless: Ability rehydration if this pokémon is your active pokémon and is knocked out by damage from an opponent's attack, you may move up to 2 basic w energy cards. Naturally, these pokémon card value databases are predominately made up from historical ebay data, as it's the biggest pokémon card marketplace so if you keep drawing pokémon after pokémon, your hand will be full of cards you can't use. New original card is four! Get pokémon trading card game news, information, and strategy, check out sun & moon—team up, and browse the pokémon tcg card database! This pokemon card maker application helps you make your card into a pivot in which you should set x and...
Make Your Own Mtg Card : Make your own Magic card! - TV Tropes Forum : Craft a unique background and story for your game, and then create various types of cards, like character cards, battle cards, and magic cards. . Less than 1,000 people have designed official magic: Make your own ai generated magic. Create your own tuck boxes for your playing cards with no minimum order quantity. You can check out what other people have made along with making your own. Each player may sacrifice a creature. New blank game card decks are now available for sale on makeplayingcards.com. Magicseteditor.sourceforge.net/don't forget to subscribe, like, and.follow me on twitter @. Make your custom playmat in 3 easy steps! My one other recommendation would be to cut the cards yourself. The price of the paper is, relatively, marginal; Best Custom MTG Cards from 66.media.tumblr.com ...
Komentar
Posting Komentar